Morphometric changes in the hippocampus and amygdala of mice in a model of chronic defeat stress
- Authors: Dorofeev N.A.1,2, Smirnov A.V.1, Samarkin D.D.1, Tyurenkov I.N.1, Bykhalov L.S.2
-
Affiliations:
- Volgograd State Medical University
- Volgograd Regional Clinical Oncology Center
- Issue: Vol 22, No 3 (2025)
- Pages: 65-72
- Section: Articles
- Published: 05.10.2025
- URL: https://www.journal-ta.ru/2658-4514/article/view/692107
- DOI: https://doi.org/10.19163/2658-4514-2025-22-3-65-72
- ID: 692107
Cite item
Full Text
Abstract
Under the influence of chronic stress, including social stress, a person can develop borderline states and mental illnesses. The mechanisms and morphological substrate underlying them are studied using animal modeling, including the paradigm of chronic social defeat stress. However, there are poorly developed aspects and inconsistencies in the literature that require clarification. Objective. To study morphological changes in the hippocampus and amygdala during chronic social defeat stress modeling in mice in comparison with control animals. Materials and Methods. The study was conducted in the paradigm of "chronic social defeat stress" using the previously described technique on linear mice (CBA/lac). Upon completion of the experiment, brain micropreparations stained according to Nissl were studied with visual and morphometric assessment. Results. The obtained results confirm that the substructures of the hippocampus and amygdala participate in the body's reactions to chronic social stress, which is manifested in changes in the morphometric characteristics of neurons. In the CA1 field of the hippocampus, an increase in the density of neurons is observed with minor atrophy of the cells themselves, while in the CA3 field, hypertrophy of neurons is revealed, mainly due to an increase in the volume of the cytoplasm, with a decrease in the folding of the cellular and nuclear membranes against the background of a slight average decrease in the density of neurons. In the lateral, basolateral and basomedial nuclei of the amygdala, atrophic changes in neurons are noted, which are not accompanied by significant changes in their density. Conclusion. The described morphometric data are consistent with a number of functional and biochemical changes that can cause them. At the same time, there are discrepancies that require further comprehensive study of the issue from the point of view of the morphofunctional approach.
Keywords
Full Text
Влияние различных внешних социальных факторов на организм человека являются неотъемлемой и необходимой частью его жизни. Под их действием происходит адаптация в непрерывно меняющихся окружающих условиях, начиная от семьи и близкого окружения и заканчивая глобальными мировыми событиями. В тех случаях, когда подобные внешние стимулы становятся избыточными по своей силе и/или продолжительности, они могут из физиологических перейти в разряд патологических. Такое негативное воздействие может приводить к целому ряду пограничных состояний и заболеваний, в том числе психических, таких как тревожное расстройство, депрессия и посттравматическое стрессовое расстройство [1, 2]. В силу широкого распространения хронического воздействия негативных социальных факторов в настоящее время одной из актуальных задач медицины является исследование их влияния на разные системы организма [3–12]. На основании этих знаний, в свою очередь, разрабатываются методы предотвращения развития патологических состояний и их лечение.
Основная часть научных работ, в которых данная тематика изучается в контексте морфологических изменений, основана на анализе материала, полученного от экспериментальных животных, особенно мышей и крыс, при моделировании схожих стрессовых воздействий. При этом большее внимание направлено на моделирование тревожно-депрессивных состояний, для чего разработано множество типов проведения эксперимента.
Разные их варианты в большей или меньшей степени воспроизводят патологические стимулы, происходящие в организме процесс и их последствия, что соответствует критериям наличной, конструктивной, предсказательной и этиологической валидности.
В литературе описаны несколько групп моделей депрессии и хронического стресса [1, 13]. Первая из них, так называемые «модели повреждения», в которых моделирование депрессивно-подобного поведения достигается созданием искусственного дефекта на разных уровнях – от генного до органного. Ко второй группе можно отнести близкие к первой группе модели «фармакологической» депрессии, основанные на использовании химических соединений, приводящих к развитию исследуемого состояния. Также выделяют третью группу, представленную различными моделями непосредственно острого, подострого и хронического стресса. Среди последних особое место занимают «социальные» модели.
«Модели повреждения» и модели «фармакологической» депрессии в большинстве ориентированы на исследование конкретных механизмов развития тревожно-подобного и/или депрессивно-подобного поведения, не представляя, однако, целостной картины, что ограниченно позволяет экстраполировать полученные данные на широко распространенные клинические ситуации. Данный минус в значительной степени нивелирован в моделях стресса, особенно моделях умеренного хронического непредсказуемого стресса и модели хронического социального стресса поражения. Последний класс моделей – один из немногих, исследующих воздействие непосредственно социальных факторов, имеющих наибольшее этиологическое соответствие в рамках эксперимента на грызунах.
Кроме того, согласно данным разных коллективов авторов, несмотря на моделирование неспецифической реакции организма – стресса – есть целый ряд биохимических, морфологических и поведенческих отличий, наблюдаемых у животных. При этом имеются и схожие аспекты, среди которых центральную роль в физиологических и патологических реакциях организма на стресс отводят гиппокампу [8, 12, 14]. При детальном изучении также установлено, что разные его субструктуры – поля CA1, CA2, CA3 – могут по-разному реагировать на исследуемые воздействия, как количественно, так и качественно.
Кроме гиппокампа одной из наиболее исследованных структур конечного мозга стало миндалевидное тело, ядра которого также, потенциально, могут играть разную роль в адаптационно-дезадаптационных реакциях на стресс.
ЦЕЛЬ РАБОТЫ
Изучение морфологических изменений в гиппокампе и миндалевидном теле при моделировании хронического социального стресса у мышей в сравнении с интактными животными.
МЕТОДИКА ИССЛЕДОВАНИЯ
Исследование выполнено в парадигме «хронического социального стресса поражения» по методике, описанной ранее [15]. В часть эксперимента, описанную в текущей работе, были включены 13 мышей линии CBA (lac) возрастом 4 месяца (масса 20–25 г), разделенные на группу «стресса» (7 животных, С) и интактную группу (6 животных, И). Также в эксперименте участвовали животные линии C57BL/6 и нелинейных мышах в качестве животных-«агрессоров». Работа с животными была проведена в соответствии с Европейской конвенцией о защите позвоночных животных, используемых в экспериментальных и других научных целях (Страсбург, 1986). На проведение исследования получено разрешение локального этического комитета ФГБОУ ВО ВолгГМУ Минздрава России (№ 2022/160 от 3.11.2022).
После вывода животных из эксперимента, исследовался материал головного мозга животных интактной группы и группы «стресса» с окраской фронтальных срезов (-1.255:-2.555 мм от Брегмы) тионином по методу Ниссля. Полученные микропрепараты фотографировались и подвергались качественному, количественному (морфометрическому) анализу и статистической обработке, согласно описанной ранее методике.
В настоящей работе представлены результаты анализа полей CA1, CA2, CA3 гиппокампа, а также латерального (ЛА), базолатерального (БЛА) и базомедиального (БМА) ядер миндалевидного тела (амигдалы). При проведении морфометрии рассчитывались следующие показатели нейронов согласно представленной методике: периметр перикариона, периметр ядра, площадь перикариона, относительная площадь перикариона, площадь цитоплазмы перикариона, относительная площадь цитоплазмы перикариона, площадь ядра, относительная площадь ядра, ядерно-цитолазматическое отношение (ЯЦО). Результаты предоставлены в формате «Процент изменения (95 % доверительный интервал процента изменения)» либо «среднее ± стандартное отклонение».
РЕЗУЛЬТАТЫ ИССЛЕДОВАНИЯ И ИХ ОБСУЖДЕНИЕ
Гиппокамп
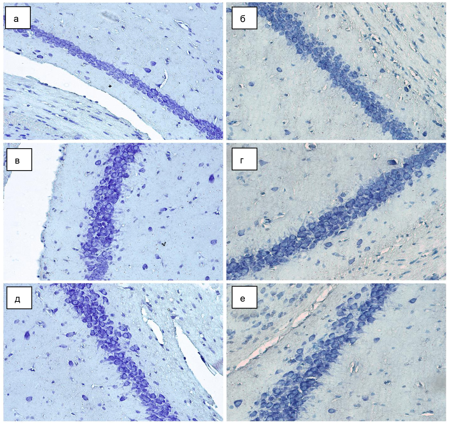
При качественном морфологическом анализе в полях CA1 и CA2 не обнаружено заметных цитологических различий между нейронами у животных интактной и стрессированной групп (рис. 1). Также визуально не отмечено изменение характера их взаимного расположения и плотности. В поле CA3 имелась тенденция к более компактному расположению пирамидных нейронов с более частыми перекрытиями границ клеток в рамках стандартных срезов. При этом структурно отмечалась тенденция к более частому формированию пустых пространств в толщине слоя с «выпадением» нейронов.
Рис. 1. Морфология гиппокампа мыши, окраска тионином по методу Ниссля, ×400: а, б – поле CA1; в, г – поле CA2; д, е – поле CA3; а, в, д – группа интактных мышей; б, г, е – группа стрессированных мышей
По результатам морфометрии с последующей статистической обработкой, в полях CA1 и CA2 по абсолютным показателям не обнаружено достоверных различий, однако имелась тенденция к их уменьшению в группе стресса по сравнению с интактной группой.
В поле CA1 по относительным морфометрическим показателям имелась обратная тенденция к увеличению в группе стресса с достижением порога статистической значимости (p-значение < 0,05) по следующим из них:
- относительная площадь перикариона нейрона – увеличение на 13,9 % (4,8–23,0 %) в группе стресса (И – 1,65 ± 0,77, С – 1,88 ± 0,72);
- относительная площадь цитоплазмы перикариона нейрона – увеличение на 14,1 % (3,3–23,9 %) в группе стресса (И – 0,92 ± 0,46, С – 1,05 ± 0,48);
- относительная площадь ядра нейрона – увеличение на 15,1 % (5,5–23,3 %) в группе стресса (И – 0,73 ± 0,36, С – 0,84 ± 0,3).
В поле CA2 не установлено достоверных различий по относительным показателям с отсутствием тенденции как к увеличению, так и к уменьшению.
В нейронах поля CA3, в свою очередь, имелась тенденция к увеличению как абсолютных, так и относительных показателей, кроме ЯЦО, с наличием достоверных различий в части абсолютных показателей:
- периметр ядра нейрона – увеличение на 4,7 % (1,9–7,6 %) в группе стресса [И – (29,34 ± 3,91) мкм, С – (30,73 ± 4,49) мкм];
- площадь перикариона нейрона – увеличение на 12,7 % (6,5–18,8 %) в группе стресса [И – (111,78 ± 30,96) мкм2, С – (125,94 ± 38,07) мкм2];
- площадь цитоплазмы перикариона нейрона – увеличение на 14,1% (6,2–22,0 %) в группе стресса [И – (64,53 ± 23,05) мкм2, С – (73,63 ± 28,37) мкм2];
- площадь ядра нейрона – увеличение на 10,7 % (5,2–16,2 %) в группе стресса [И – (47,25 ± 11,68) мкм2, С – (52,31 ± 14,31) мкм2].
Таким образом, несмотря на незначительные качественные отличия при визуальной оценке нейронов в полях CA1-3 гиппокампа, имелись статистически значимые количественные различия по ряду морфометрических параметров в сторону их увеличения в группе стресса по сравнению с интактной группой. Вместе с тем описанные изменения для поля CA1 достигли порога значимости только по параметрам относительных площадей перикариона нейрона, цитоплазмы перикариона нейрона и ядра нейрона. Стоит также отметить, что изменения абсолютных параметров имели тенденцию к уменьшению, что в сумме соответствует увеличению плотности нейронов в данной зоне на фоне незначительной атрофии самих клеток.
Для поля CA3, наоборот, достоверные различия отмечены только для абсолютных показателей, превосходящие разницу между группами по относительным показателям.
Обобщая данные результаты с тенденцией к снижению ЯЦО, а также более выраженному увеличению площадей цитоплазмы, ядра и перикариона по сравнению с их периметрами, в поле CA3 имелась гипертрофия нейронов, в большей степени за счет цитоплазмы, с уменьшением складчатости клеточной и ядерной мембран на фоне незначительного среднего снижения плотности нейронов.
Миндалевидное тело
При визуальной оценке нейронов (рис. 2) исследуемых ядер миндалевидного тела не отмечено значительных различий в размерах перикарионов и ядер, однако в группе стресса чаще встречались нейроны с более гиперхромными ядрами и конденсированным хроматином, чем в материале животных интактной группы.
Рис. 2. Морфология миндалевидного тела мыши, окраска тионином по методу Ниссля, ×400: а, б – латеральное ядро; в, г – базо-латеральное ядро; д, е – базо-медиальное ядро; а, в, д – группа интактных мышей; б, г, е – группа стрессированных мышей
Кроме того, в латеральном ядре в группе стресса нейроны имели визуально более эллиптическую форму со сглаженными углами, в отличие от нейронов в интактной группе с более выраженной пирамидально-полигональной формой перикариона.
В базолатеральном ядре у части животных контрольной группы отмечены более выраженные ядрышки по сравнению с интактной группой.
Согласно полученным морфометрическим результатам с последующей статистической обработкой установлены достоверные различия по всем анализируемым показателям, кроме ядерно-цитоплазматического отношения.
Для латерального ядра отмечены следующие статистически значимые различия:
- периметр перикариона нейрона – уменьшение на 6,1 % (2,5–9,7 %) в группе стресса [И – (37,59 ± 7,36) мкм, С – (35,3 ± 6,19) мкм];
- периметр ядра нейрона – уменьшение на 7,0 % (3,4–10,6 %) в группе стресса [И – (23,86 ± 4,29) мкм, С – (22,19 ± 4,38) мкм];
- площадь перикариона нейрона – уменьшение на 20,7 % [15,0–26,3 %) в группе стресса [И – (66,67 ± 21,61) мкм2, С – (52,89 ± 14,9) мкм2];
- относительная площадь перикариона нейрона – уменьшение на 26,4 % (19,1–33,6 %) в группе стресса (И – 1,1 ± 0,5, С – 0,81 ± 0,3);
- площадь цитоплазмы перикариона нейрона – уменьшение на 19,0 % (12,6–25,4 %) в группе стресса [И – (36,96 ± 13,8) мкм2, С – (29,94 ± 9,15) мкм2];
- относительная площадь цитоплазмы перикариона нейрона – уменьшение на 25,0 % (16,7 – 33,3 %) в группе стресса (И – 0,6 ± 0,29, С – 0,45 ± 0,17);
- площадь ядра нейрона – уменьшение на 22,7 % (16,4–29,1 %) в группе стресса [И – (29,7 ± 10,26) мкм2, С – (22,95 ± 8,29) мкм2];
- относительная площадь ядра нейрона – уменьшение на 28,0 % (20,0–36,0 %) в группе стресса (И – 0,5 ± 0,24, С – 0,36 ± 0,16).
Для базолатерального ядра получены следующие результаты:
- периметр перикариона нейрона – уменьшение на 12,3 % (9,3–15,3 %) в группе стресса [И – (47,17 ± 6,43) мкм, С – (41,36 ± 7,61) мкм];
- периметр ядра нейрона – уменьшение на 11,6 % (8,5–14,8 %) в группе стресса [И – (29,15 ± 4,31) мкм, С – (25,76 ± 4,85) мкм];
- площадь перикариона нейрона – уменьшение на 24,8 % (19,2–30,5 %) в группе стресса [И – (105,18 ± 28,63) мкм2, С – (79,05 ± 30,81) мкм2];
- относительная площадь перикариона нейрона – уменьшение на 21,4 % (14,3–28,6 %) в группе стресса (И – 0,98 ± 0,39, С – 0,77 ± 0,29);
- площадь цитоплазмы перикариона нейрона – уменьшение на 24,3 % (17,8–30,7 %) в группе стресса [И – (60,26 ± 19,42) мкм2, С – (45,63 ± 19,52) мкм2];
- относительная площадь цитоплазмы перикариона нейрона – уменьшение на 20,0 % (12,7–27,3 %) в группе стресса (И – 0,55 ± 0,23, С – 0,44 ± 0,18);
- площадь ядра нейрона – уменьшение на 25,6 % (19,5–31,7 %) в группе стресса [И – (44,92 ± 14,09) мкм2, С – (33,43 ± 13,51) мкм2];
- относительная площадь ядра нейрона – уменьшение на 23,3 % (16,3–30,2 %) в группе стресса [И – 0,43 ± 0,19, С – 0,33 ± 0,13];.
В базомедиальном ядре миндалевидного тела имелись достоверные различия по указанным морфометрическим параметрам:
- периметр перикариона нейрона – уменьшение на 7,3 % (3,0–11,6 %) в группе стресса [И – (41,16 ± 9,67) мкм, С – (38,15 ± 7,78) мкм];
- периметр ядра нейрона – уменьшение на 6,5 % (2,6–10,3 %) в группе стресса [И – 25,41 ± 5,4 мкм, С – 23,77 ± 4,14 мкм];
- площадь перикариона нейрона – уменьшение на 15,8 % (8,3–23,2 %) в группе стресса [И – (84,34 ± 35,77) мкм2, С – (71,04 ± 25,55) мкм2];
- относительная площадь перикариона нейрона – уменьшение на 23,8 % (16,8–30,7 %) в группе стресса (И – 1,01 ± 0,41, С – 0,77 ± 0,26);
- площадь цитоплазмы перикариона нейрона – уменьшение на 15,3 % (6,9–23,8 %) в группе стресса [И – (48,17 ± 22,46) мкм2, С – (40,78 ± 17,75) мкм2];
- относительная площадь цитоплазмы перикариона нейрона – уменьшение на 22,8 % (15,8–29,8 %) в группе стресса [И – 0,57 ± 0,24, С – 0,44 ± 0,17];
- площадь ядра нейрона – уменьшение на 16,3 % (9,1–23,6 %) в группе стресса [И – (36,16 ± 15,33) мкм2, С – (0,84 ± 0,3) мкм2];
- относительная площадь ядра нейрона – уменьшение на 25,0 % (15,9–31,8 %) в группе стресса (И – 0,44 ± 0,2, С – 0,33 ± 0,12).
Согласно полученным результатам в ЛА, БЛА и БМА имелись атрофические изменения нейронов, не сопровождающиеся значительным изменение их плотности. При этом показатели площадей цитоплазмы, ядра и перикариона по сравнению с их периметром имели более выраженное уменьшение, что по модулю схоже с обнаруженными в CA3 различиями, и показывает большую консервативность «периметров» и большую лабильность «площадей» нейронов.
В научной литературе имеются разнородные и противоречивые данные относительно реакций миндалевидного тела и гиппокампа на стресс. Среди них изучают вклад дофаминергических и серотонинергических нейронов в реакции организма на стресс. Кроме того, исследователи оценивали изменения в качественных и количественных характеристиках митохондриального звена, активации нейронов и изменение морфологии их отростков под влиянием хронического социального стресса поражения.
Так, одни авторы описали значительное снижение экспрессии рецепторов дофамина D1 в миндалевидном теле стрессированных «чувствительных» мышей, но не в CA1, и не получили достоверных изменений в экспрессии рецепторов D2 ни в амигдале, ни в CA1 [3].
Другие авторы не получили достоверных различий по обоим типам рецепторов ни в миндалевидном теле, ни в гиппокампе [4]. Согласно исследованиям морфологии отростков нейронов под действием указанных стимулов повышается и количество, и плотность отростков, а также их ветвление в ЛА и БЛА [5]. При этом интактные мыши, нокаутные по гену транспортеру серотонина (5-HTT) имели схожие изменения со стрессированными животными «дикого» типа, что показывает роль гомеостаза серотонина в данном процессе.
При изучении участия митохондриального звена, установлено значительное снижение митохондриальной массы, количества копий митохондриальной ДНК (митДНК) и повышение митофагии и мутаций в митДНК в БЛА, но не CA1 и CA3 гиппокампа [6]. Исследование активации нейронов с помощью анализа экспрессии белков семейства Fos показало, что в БЛА количество Fos-позитивных клеток возрастает при социальном стрессе [9]. Однако при раздельном изучении вклада c-Fos (быстро индуцируемая форма) и deltaFosB (более стабильная изоформа) установлено, что количество c-Fos-позитивных клеток в первые дни стресса повышается в БЛА, а затем возвращается к норме, а в вентральном гиппокампе наоборот, сначала снижается, а затем приходит к исходному уровню [7]. При этом, по данным других авторов, на конец эксперимента в миндалевидном теле отмечалось повышение экспрессии c-Fos, а в гиппокампе – снижение [10].
Количество deltaFosB-позитивных нейронов и в БЛА, и в вентральном гиппокампе повышалось при социальном стресса, а в дорсальном гиппокампе – снижалось [8].
Таким образом, полученные нами данные относительно изменения морфометрических показателей нейронов в полях CA1, CA3 гиппокампа и ЛА, БЛА и БМА имеют ряд соответствий с функционально-биохимическими изменениями в схожих локализациях и могут быть, в определенной мере, ими обусловлены. Вместе с тем в данных различных авторов имеются расхождения, которые могут возникать из-за различий в деталях моделирования социального стресса, различиях в экспериментальных животных (например, линейные / нелинейные, отбор чувствительных / нечувствительных).
ЗАКЛЮЧЕНИЕ
Получены данные, подтверждающие участие субструктур гиппокампа и миндалевидного тела в реакциях организма на хронический социальный стресс в виде изменения морфометрических характеристик нейронов. При этом в поле CA1 гиппокампа отмечено увеличение плотности нейронов на фоне незначительной атрофии самих клеток, а поле CA3 – гипертрофия нейронов, в большей степени за счет цитоплазмы, с уменьшением складчатости клеточной и ядерной мембран на фоне незначительного среднего снижения плотности нейронов.
В латеральном, базолатеральном и базомедиальном ядрах миндалевидного тела обнаружены атрофические изменения нейронов, не сопровождающиеся значительным изменение их плотности.
Описанные нами результаты согласуются с рядом функционально-биохимических изменений, которые могут лежать в их основе, однако, имеются и расхождения, требующие дальнейшего комплексного изучения вопроса с точки зрения морфофункционального подхода.
About the authors
Nikita A. Dorofeev
Volgograd State Medical University; Volgograd Regional Clinical Oncology Center
Author for correspondence.
Email: dorofeev.na@mail.ru
ORCID iD: 0000-0003-2679-7524
Assistant of the Department, pathologist, Pathology Department, Volgograd Regional Clinical Oncology Center
Russian Federation, Volgograd; VolgogradAlexey V. Smirnov
Volgograd State Medical University
Email: alexeysmirnov.volggmu@gmail.com
ORCID iD: 0000-0001-5351-6105
Doctor of Medical Sciences, Professor, Head of the Department
Russian Federation, VolgogradDaniil D. Samarkin
Volgograd State Medical University
Email: arneld@list.ru
ORCID iD: 0009-0001-3858-7279
postgraduate student of the Department
Russian Federation, VolgogradIvan N. Tyurenkov
Volgograd State Medical University
Email: fibfuv@mail.ru
ORCID iD: 0000-0001-7574-3923
Corresponding Member of the Russian Academy of Sciences, Doctor of Medical Sciences, Professor, Head of the Department
Russian Federation, VolgogradLeonid S. Bykhalov
Volgograd Regional Clinical Oncology Center
Email: leonby-vgd@yandex.ru
Doctor of Medical Sciences, Professor of the Department
Russian Federation, VolgogradReferences
- Patel D., Kas M. J., Chattarji S., Buwalda B. Rodent models of social stress and neuronal plasticity: Relevance to depressive-like disorders. Behavioural brain research. 2019;369:111900.
- Koskinen M.-K., van Mourik Y., Smit A. B., Riga D., Spijker S. From stress to depression: development of extracellular matrix-dependent cognitive impairment following social stress. Sci Rep. 2020;10:17308.
- Huang G.-B., Zhao T., Gao X.-L., Zhang H.-X., Xu Y.-M., Li H. et al. Effect of chronic social defeat stress on behaviors and dopamine receptor in adult mice. Prog Neuropsychopharmacol Biol Psychiatry. 2016;66:73–9.
- Jin H.-M., Muna S. S., Bagalkot T. R., Cui Y., Yadav B. K., Chung Y.-C. The effects of social defeat on behavior and dopaminergic markers in mice. Neuroscience. 2015;288:167–177.
- Kolter J. F., Hildenbrand M. F., Popp S., Nauroth S., Bankmann J., Rother L. et al. Serotonin transporter genotype modulates resting state and predator stress-induced amygdala perfusion in mice in a sex-dependent manner. PLoS One. 2021;16:e0247311.
- Duan K., Gu Q., Petralia R. S., Wang Y.-X., Panja D., Liu X. et al. Mitophagy in the basolateral amygdala mediates increased anxiety induced by aversive social experience. Neuron. 2021;109:3793–809.
- Qi C.-C., Wang Q.-J., Ma X., Chen H.-C., Gao L.-P., Yin J. et al. Interaction of basolateral amygdala, ventral hippocampus and medial prefrontal cortex regulates the consolidation and extinction of social fear. Behavioral and Brain Functions. 2018;14:7.
- da Costa V. F., Ramírez J. C. C., Ramírez S. V., Avalo-Zuluaga J. H., Baptista-de-Souza D., Canto-de-Souza L. et al. Emotional and cognitive-like responses induced by social defeat stress in male mice are modulated by the BNST, amygdala, and hippocampus. Front Integr Neurosci. 2023;17:1168640.
- Yang L., Shi L.-J., Yu J., Zhang Y.-Q. Activation of protein kinase A in the amygdala modulates anxiety-like behaviors in social defeat exposed mice. Mol Brain. 2016;9:3.
- Zan G., Sun X., Wang Y., Liu R., Wang C., Du W. et al. Amygdala dynorphin/κ opioid receptor system modulates depressive-like behavior in mice following chronic social defeat stress. Acta Pharmacol Sin. 2022;43:577–87.
- Colyn L., Venzala E., Marco S., Perez-Otaño I., Tordera R. M. Chronic social defeat stress induces sustained synaptic structural changes in the prefrontal cortex and amygdala. Behavioural brain research. 2019;373:112079.
- Смирнов А. В., Экова М. Р., Тюренков И. Н., Волотова Е. В. Характеристика экспрессии эндотелиальной NO-синтазы в зубчатой извилине крыс при моделировании депрессивного состояния и возможность фармакологической коррекции фенибутом. Вестник Волгоградского государственного медицинского университета. 2021;18(2):128–131. doi: 10.19163/1994-9480-2021-2(78)-128-131.
- Hao Y., Ge H., Sun M., Gao Y. Selecting an appropriate animal model of depression. Int J Mol Sci. 2019;20:4827.
- Ren L. Y., Meyer M. A. A., Grayson V. S., Gao P., Guedea A. L., Radulovic J. Stress-induced generalization of negative memories is mediated by an extended hippocampal circuit. Neuropsychopharmacology. 2022;47:516–23.
- Dorofeev N. A., Smirnov A. V., Samarkin D. D., Turenkov I. N., Bykhalov L. S. Morphometric characteristics of changes in the retrosplenial cortex of mice during social stress modeling. Volgograd Journal of Medical Research. 2025;22:57–65.
Supplementary files
